Каталог
Баннер комплексное оснащение в раздел узи Versana Balance, Versana Premier, обновление 2025
Все производители
  • GE HealthCare GE HealthCare
  • Mindray Mindray
  • Draeger Draeger
  • Samsung Samsung
  • Energist Energist
  • AMI AMI
  • Korust Korust
  • Siemens Siemens
  • Philips Philips
Баннер комплексное оснащение в раздел реанимации Выгодные комплекты для анестезиологии и реанимации
Все производители
  • GE HealthCare GE HealthCare
  • Mindray Mindray
  • Draeger Draeger
  • Samsung Samsung
  • Energist Energist
  • AMI AMI
  • Korust Korust
  • Siemens Siemens
  • Philips Philips
Neogen баннер в каталог
Все производители
  • GE HealthCare GE HealthCare
  • Mindray Mindray
  • Draeger Draeger
  • Samsung Samsung
  • Energist Energist
  • AMI AMI
  • Korust Korust
  • Siemens Siemens
  • Philips Philips
Баннер комплексное оснащение в ЛД OEC One CFD: Все возможности в мобильной C-дуге
Все производители
  • GE HealthCare GE HealthCare
  • Mindray Mindray
  • Draeger Draeger
  • Samsung Samsung
  • Energist Energist
  • AMI AMI
  • Korust Korust
  • Siemens Siemens
  • Philips Philips
Все производители
  • GE HealthCare GE HealthCare
  • Mindray Mindray
  • Draeger Draeger
  • Samsung Samsung
  • Energist Energist
  • AMI AMI
  • Korust Korust
  • Siemens Siemens
  • Philips Philips
RU EN CN AE KG
Компьютерный томограф GE Revolution Ascend
Компьютерный томограф GE Revolution Ascend
Цена по запросу

Компьютерный томограф GE Revolution Ascend

Клинические изображения
Описание
Технические характеристики
Клиническая эффективность
Упрощенный рабочий процесс
Пользовательский интерфейс
Технология TrueFidelity
Апертура гентри
Калькулятор лизинга
Калькулятор окупаемости
Отзывы
Вопросы и ответы
Датчики
Похожие товары
Компьютерный томограф GE Revolution Ascend
Компьютерный томограф GE Revolution Ascend

Клинические изображения

Характеристики

  • 40 мм-коллимация
  • Рентгеновская трубка Performix 40 Plus 
  • Стол VT1700V/VT2000/VT2000x
  • Апертура гентри: 75 см
Все технические характеристики...

Описание

Revolution Ascend позволяет выполнять КТ-исследования быстрее, проще и удобнее, при этом получая изображения высокого качества. Интеллектуальные рабочие процессы, интуитивно-понятный пользовательский интерфейс и передовые технологии упрощают, оптимизируют и автоматизируют весь процесс компьютерной томографии.

Технические характеристики

  • 40 мм-коллимация
  • Рентгеновская трубка Performix 40 Plus 
  • Стол VT1700V/VT2000/VT2000x
  • Апертура гентри: 75 см
Представленные характеристики не являются публичной офертой. Возможны расхождения фактических параметров с указанными на сайте. Рекомендуем уточнять ключевые параметры у менеджеров МСТ.

Клиническая эффективность

В КТ-исследованиях больше всего времени уходит не на само сканирование, а на подготовку пациента, реконструкцию изображений и создание заключительного отчета. С Revolution Ascend вы можете легко размещать пациентов с высоким ИМТ на столе и эффективно проводить интервенционные процедуры и любые другие исследования нажатием всего лишь двух кнопок.

Упрощенный рабочий процесс

Effortless Workflow оптимизирует весь процесс КТ с помощью интеллектуальных алгоритмов, обеспечивая изображения высокого качества и сокращая число действий, выполняемых вручную, тем самым позволяя быстро достигать уверенных результатов.

Пользовательский интерфейс

Пользовательский интерфейс Revolution Ascend точно такой же, как и в премиальных системах GE. Он разработан с учетом повседневных потребностей врача и включает, например, такую функцию, как Smart Plan, которая обеспечивает интеллектуальное распознавание органов и правильную настройку позиционирования.
Кроме того, такая функция, как Auto Prescription**, рекомендует параметры сканирования индивидуально для каждого пациента, благодаря этому вы сможете всегда быть уверены в качестве получаемых изображений и уровне лучевой нагрузки, без необходимости знания и использования продвинутых настроек системы.

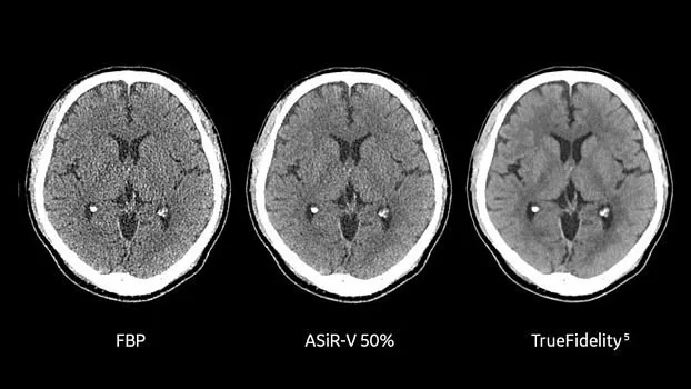
Технология TrueFidelity

Revolution Ascend поддерживает технологию TrueFidelity**, которая реконструирует изображения с помощью алгоритмов глубокого обучения. Она обеспечивает глубокую детализацию, естественную текстуру, высокую контрастность и четкость изображений. TrueFidelity генерирует изображения с помощью алгоритмов искусственного интеллекта. Это позволяет, с одной стороны, использовать низкую лучевую нагрузку, как при итеративной реконструкции, а с другой стороны, получать изображения, не уступающие по качеству методу фильтрованных обратных проекций.

Апертура гентри

В Revolution Ascend сочетаются новая конструкция гентри диаметром 75 см и более низкое расположение стола, что позволяет увеличить площадь внутри туннеля, в пределах которой располагается пациент, на 22% по сравнению со сканерами GE HealthCare предыдущего поколения. Таким образом, пациенты чувствуют себя более комфортно во время КТ-исследований. Благодаря новой конструкции гентри, Revolution Ascend – КТ с самой большой апертурой среди систем с короткой геометрией¹. Это означает, что вы сможете проводить КТ пациентам крупного телосложения, а также пациентам с травмами, которые испытывали бы дискомфорт и не смогли бы свободно двигаться, если бы сканирование проходило в гентри меньшего размера.

Калькулятор лизинга

Стоимость оборудования
Авансовый платеж
Срок

Калькулятор окупаемости

Стоимость оборудования
Количество посетителей в день
ЗП сотрудников в месяц
Средняя цена процедуры
Операционные расходы в месяц
Результат расчета

Отзывы

Нет оценок
Отзывов пока нет
Оставьте отзыв о заказанном товаре, и другие покупатели будут вам благодарны.
Оставить отзыв
Общая оценка





Качество





Удобство работы





Опыт использования



Оценка товара
Личные данные
Абакан
Альметьевск
Анапа
Ангарск
Арзамас
Армавир
Артём
Архангельск
Астрахань
Ачинск
Балаково
Балашиха
Барнаул
Батайск
Белгород
Бердск
Березники
Бийск
Благовещенск
Ботаюрт
Братск
Брянск
Великий Новгород
Владивосток
Владикавказ
Владимир
Волгоград
Волгодонск
Волжский
Вологда
Воронеж
Всеволожск
Грозный
Дербент
Дзержинск
Димитровград
Долгопрудный
Домодедово
Евпатория
Екатеринбург
Елец
Ессентуки
Железногорск
Жуковский
Зеленодольск
Златоуст
Иваново
Ижевск
Иркутск
Йошкар-Ола
Казань
Калининград
Калуга
Каменск-Уральский
Камышин
Каспийск
Кемерово
Керчь
Киров
Кисловодск
Ковров
Коломна
Комсомольск-на-Амуре
Копейск
Королёв
Кострома
Красногорск
Краснодар
Красноярск
Курган
Курск
Кызыл
Липецк
Люберцы
Магнитогорск
Майкоп
Махачкала
Миасс
Москва
Мурманск
Муром
Мытищи
Набережные Челны
Назрань
Нальчик
Находка
Невинномысск
Нефтекамск
Нефтеюганск
Нижневартовск
Нижнекамск
Нижний Новгород
Нижний Тагил
Новокузнецк
Новомосковск
Новороссийск
Новосибирск
Новочебоксарск
Новочеркасск
Новошахтинск
Новый Уренгой
Ногинск
Норильск
Ноябрьск
Обнинск
Одинцово
Октябрьский
Омск
Оренбург
Орехово-Зуево
Орск
Орёл
Пенза
Первоуральск
Пермь
Петрозаводск
Петропавловск-Камчатский
Подольск
Прокопьевск
Псков
Пушкино
Пятигорск
Раменское
Реутов
Ростов-на-Дону
Рубцовск
Рыбинск
Рязань
Салават
Самара
Санкт-Петербург
Саранск
Саратов
Севастополь
Северодвинск
Северск
Серпухов
Симферополь
Смоленск
Сочи
Ставрополь
Старый Оскол
Стерлитамак
Сургут
Сызрань
Сыктывкар
Таганрог
Тамбов
Тверь
Тольятти
Томск
Туапсе
Тула
Тюмень
Улан-Удэ
Ульяновск
Уссурийск
Уфа
Хабаровск
Ханты-Мансийск
Хасавюрт
Химки
Чебоксары
Челябинск
Череповец
Черкесск
Чита
Шахты
Щёлково
Электросталь
Элиста
Энгельс
Южно-Сахалинск
Якутск
Ярославль
Вопросы и ответы
Нужна помощь?
Задайте свой вопрос по данному оборудованию, и вам ответит product-специалист, инженер по медицинскому оборудованию или специалист отдела продаж.
Задать вопрос
Ваш вопрос
Личные данные
Абакан
Альметьевск
Анапа
Ангарск
Арзамас
Армавир
Артём
Архангельск
Астрахань
Ачинск
Балаково
Балашиха
Барнаул
Батайск
Белгород
Бердск
Березники
Бийск
Благовещенск
Ботаюрт
Братск
Брянск
Великий Новгород
Владивосток
Владикавказ
Владимир
Волгоград
Волгодонск
Волжский
Вологда
Воронеж
Всеволожск
Грозный
Дербент
Дзержинск
Димитровград
Долгопрудный
Домодедово
Евпатория
Екатеринбург
Елец
Ессентуки
Железногорск
Жуковский
Зеленодольск
Златоуст
Иваново
Ижевск
Иркутск
Йошкар-Ола
Казань
Калининград
Калуга
Каменск-Уральский
Камышин
Каспийск
Кемерово
Керчь
Киров
Кисловодск
Ковров
Коломна
Комсомольск-на-Амуре
Копейск
Королёв
Кострома
Красногорск
Краснодар
Красноярск
Курган
Курск
Кызыл
Липецк
Люберцы
Магнитогорск
Майкоп
Махачкала
Миасс
Москва
Мурманск
Муром
Мытищи
Набережные Челны
Назрань
Нальчик
Находка
Невинномысск
Нефтекамск
Нефтеюганск
Нижневартовск
Нижнекамск
Нижний Новгород
Нижний Тагил
Новокузнецк
Новомосковск
Новороссийск
Новосибирск
Новочебоксарск
Новочеркасск
Новошахтинск
Новый Уренгой
Ногинск
Норильск
Ноябрьск
Обнинск
Одинцово
Октябрьский
Омск
Оренбург
Орехово-Зуево
Орск
Орёл
Пенза
Первоуральск
Пермь
Петрозаводск
Петропавловск-Камчатский
Подольск
Прокопьевск
Псков
Пушкино
Пятигорск
Раменское
Реутов
Ростов-на-Дону
Рубцовск
Рыбинск
Рязань
Салават
Самара
Санкт-Петербург
Саранск
Саратов
Севастополь
Северодвинск
Северск
Серпухов
Симферополь
Смоленск
Сочи
Ставрополь
Старый Оскол
Стерлитамак
Сургут
Сызрань
Сыктывкар
Таганрог
Тамбов
Тверь
Тольятти
Томск
Туапсе
Тула
Тюмень
Улан-Удэ
Ульяновск
Уссурийск
Уфа
Хабаровск
Ханты-Мансийск
Хасавюрт
Химки
Чебоксары
Челябинск
Череповец
Черкесск
Чита
Шахты
Щёлково
Электросталь
Элиста
Энгельс
Южно-Сахалинск
Якутск
Ярославль
Цена по запросу
Сейчас этот товар смотрят:
Производитель GE HealthCare
Гарантия 24 месяца
Наличие Под заказ
Калькулятор лизинга
Калькулятор окупаемости
Клинические изображения
Описание
Технические характеристики
Клиническая эффективность
Упрощенный рабочий процесс
Пользовательский интерфейс
Технология TrueFidelity
Апертура гентри
Калькулятор лизинга
Калькулятор окупаемости
Отзывы
Вопросы и ответы
Датчики
Похожие товары